Indicá qué procesos se llevan a cabo en el núcleo de una célula eucariota:
La siguiente figura representa un cromosoma. Las referencias A y B corresponden a:

Indicá la afirmación correcta acerca del proceso de transcripción:
El código genético establece relaciones entre:
En procariontes la traducción es:
La metilación (agregado de grupos metilo) de secuencias génicas a nivel del promotor:
El splicing alternativo permite obtener:
El crecimiento de los organismos pluricelulares, se debe a:
Durante la meiosis:
El genotipo heterocigota se caracteriza porque:
En una población hay flujo génico cuando:
La teoría de la evolución postulada por Darwin plantea que:
¿Cuál de los siguientes pares de moléculas o complejos macromoleculares atraviesan los poros de la carioteca en sentido núcleo-citosol?
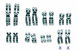
En un laboratorio se estudia el cariotipo de un individuo de una cierta especie de mamífero. A partir de las imágenes de este cariotipo, indicá cuál de las afirmaciones es correcta:

Los perros (Canis familiaris) son organismos . En consecuencia, una célula somática de esta especie contiene en su núcleo:
La secuencia , se sintetizará a partir de la hebra de ADN:
El siguiente ARNm maduro: (UAG es un codón stop) se transcribió:
Entre los experimentos que ayudaron a comprender el código genético: H.G Khorana agregó una secuencias de ARN con tres nucleótidos repetidos "AGCAGCAGC…" a un extracto de células con ribosomas funcionales. Indicá cuál de los siguientes polipéptidos obtuvo en el experimento:
En el caso del virus SARS-CoV- 2 (coronavirus), cuyo genoma consiste en una molécula de ARN, la síntesis de proteínas virales involucra:
La inserción de un nucleótido (C) en la secuencia codificante de un gen transforma a la misma en . ¿Cuál será la consecuencia de esta mutación?
En una célula hepática y otra del epitelio intestinal de un mismo individuo:
En eucariontes, distintos polipéptidos pueden ser sintetizados a partir del mismo ARNm. Esto se debe a que:
¿Qué características en común presentan las enzimas ADN polimerasa y ARN polimerasa?:
En la siguiente figura se observa un proceso que ocurre durante la división celular. Se estudia este proceso en un cultivo de células que se dividen en un medio que contiene nucleótidos marcados con fluorescencia. Luego de un ciclo de división celular, ¿dónde detectaría las marcas fluorescentes?

Indicá cuál de las siguientes opciones referidas al ciclo celular de una célula eucariota presenta una relación correcta entre la cantidad de material genético, fase del ciclo celular y proceso que se lleva a cabo en esa fase
En una célula de pulmón se observa un marcado aumento de la concentración de ciclina de G1. Señalá la opción que indica los eventos que ocurrieron hasta ese momento en la célula:
En una muestra de un tejido vegetal se observa una célula en división celular con cromosomas duplicados migrando hacia cada polo. Se puede afirmar que la célula se encuentra en:
Una célula haploide puede provenir de una célula:
En las moscas de la fruta, las alas normales (A) son dominantes sobre las alas cortas (a). Si dos moscas con alas normales se aparean y producen 880 moscas de las cuales 660 tienen alas normales y 220 tienen alas cortas, ¿Cuál es el genotipo probable de los padres?
Una pareja fenotípicamente sana tiene dos hijos: un varón hemofílico y una hija sana. Indique cuál es la probabilidad de que en su próximo embarazo se conciba un varón sano:

Los virus como el VIH, que presentan ARN como material genético, están sujetos a procesos evolutivos. Como consecuencia de ello, las secuencias de aminoácidos de las proteínas de la envoltura, se modificarán. Esto puede ser explicado por:
La selección natural, la deriva génica y el flujo génico son considerados mecanismos evolutivos ya que: