La siguiente figura representa un cromosoma. Las referencias A y B corresponden a:

Indicá qué procesos se llevan a cabo en el núcleo de una célula eucariota:
El código genético establece relaciones entre:
En procariontes la traducción es:
Indicá la afirmación correcta acerca del proceso de transcripción:
El splicing alternativo permite obtener:
La metilación (agregado de grupos metilo) de secuencias génicas a nivel del promotor:
El genotipo heterocigota se caracteriza porque:
El crecimiento de los organismos pluricelulares, se debe a:
Durante la meiosis:
La teoría de la evolución postulada por Darwin plantea que:
En una población hay flujo génico cuando:
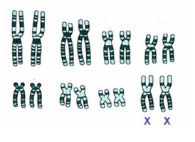
En un laboratorio se estudia el cariotipo de un individuo de una cierta especie de mamífero. A partir de las imágenes de este cariotipo, indicá cuál de las afirmaciones es correcta:

Los perros (Canis familiaris) son organismos 2n=78. En consecuencia, una célula somática de esta especie contiene en su núcleo:
¿Cuál de los siguientes pares de moléculas o complejos macromoleculares atraviesan los poros de la carioteca en sentido núcleo-citosol?
¿Qué características en común presentan las enzimas ADN polimerasa y ARN polimerasa?:
En la siguiente figura se observa un proceso que ocurre durante la división celular. Se estudia este proceso en un cultivo de células que se dividen en un medio que contiene nucleótidos marcados con fluorescencia. Luego de un ciclo de división celular, ¿dónde detectaría las marcas fluorescentes?

La secuencia 5´AAGGUCCUU3´, se sintetizará a partir de la hebra de ADN:
La inserción de un nucleótido (C) en la secuencia codificante 5´…AATGGCAGA… 3´de un gen transforma a la misma en 5´…AACTGGCAGA… 3´. ¿Cuál será la consecuencia de esta mutación?
En una célula hepática y otra del epitelio intestinal de un mismo individuo:
El siguiente ARNm maduro: 5´ Cap UGU AUG CAA UGC UUA CGA AUU UAG ACC... 3´ (UAG es un codón stop) se transcribió:
En eucariontes, distintos polipéptidos pueden ser sintetizados a partir del mismo ARNm inmaduro. Esto se debe a que:
Entre los experimentos que ayudaron a comprender el código genético: H.G Khorana agregó una secuencias de ARN con tres nucleótidos repetidos "AGCAGCAGC…" a un extracto de células con ribosomas funcionales. Indicá cuál de los siguientes polipéptidos obtuvo en el experimento:
En el caso del virus SARS-CoV- 2 (coronavirus), cuyo genoma consiste en una molécula de ARN, la síntesis de proteínas virales involucra:
Una célula haploide n=16 puede provenir de una célula:
Indicá cuál de las siguientes opciones referidas al ciclo celular de una célula eucariota presenta una relación correcta entre la cantidad de material genético, fase del ciclo celular y proceso que se lleva a cabo en esa fase
En una muestra de un tejido vegetal se observa una célula en división celular con cromosomas duplicados migrando hacia cada polo. Se puede afirmar que la célula se encuentra en:
Una pareja fenotípicamente sana tiene dos hijos: un varón hemofílico y una hija sana. Indique cuál es la probabilidad de que en su próximo embarazo se conciba un varón sano:

En las moscas de la fruta, las alas normales (A) son dominantes sobre las alas cortas (a). Si dos moscas con alas normales se aparean y producen 880 moscas de las cuales 660 tienen alas normales y 220 tienen alas cortas, ¿Cuál es el genotipo probable de los padres?
En una célula de pulmón se observa un marcado aumento de la concentración de ciclina de G1. Señalá la opción que indica los eventos que ocurrieron hasta ese momento en la célula:
La selección natural, la deriva génica y el flujo génico son considerados mecanismos evolutivos ya que:
Los virus como el VIH, que presentan ARN como material genético, están sujetos a procesos evolutivos. Como consecuencia de ello, las secuencias de aminoácidos de las proteínas de la envoltura, se modificarán. Esto puede ser explicado por: